基本信息
病例选送:黄冈一脉阳光影像中心(黄冈市中心医院)
男,57岁
主诉:口苦1个月余,发现胃角溃疡伴出血1小时余
现病史摘要:患者近1个月余来无明显诱因开始出现口苦,偶有左侧脐旁疼痛,每次持续约15分钟可自行缓解,左侧脐旁疼痛无明显诱发加重缓解因素,无反酸、烧心、恶心、呕吐,无吞咽困难、声嘶,大便1-3次/日,大便均为黄色稀便,无黑便、鲜血便,近4个月体重下降约5kg。
既往史:高血压病史5年,最高血压200/120mmhg,应用硝苯地平缓释片降压;吸烟史、饮酒史;否认其他疾病史。
实验室检查:B-RT,肿瘤标志物等均为阴。


胃镜显示:
a:胃底:粘膜充血水肿
b:胃体:粘膜充血,水肿
c:胃角:见多处不规则溃疡融合成片
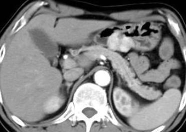
CT图像如下





腹部CT示:胃窦部肿块,形态不规则,腔内生长为主,边界较清晰,邻近粘膜显僵硬;增强后动脉期明显不均匀强化,门脉期、延迟期持续强化。
病理结果
病理诊断:
(胃铃取材标本)
(胃角)血管球瘤
免疫组化结果:CK (-),EMA (-),Vimentin (+),SMA (+) ,Calponin(弱+),H- Caldesmon (+) ,CD34 (-) ,CDI17 (-) ,DOG-1 (-) ,Syn (-) ,CgA (-),INSMI (- ) , Ki67 (LI约5%) 。
胃血管球瘤(Gastric Glomus Tumor,GGT)
a、临床罕见,仅占胃良性肿瘤的2%,胃间质性肿瘤的1%
b、GGT 可发生于各年龄段,在中年人群中具有相对较高的发病率,女性发病率高于男性
c、直径1-5cm,平均2cm左右
d、90%的病例为孤立性,10%的病例为多发性,后者多见于儿童
e、好发于胃窦部,其次是胃体
f、GGT少数病例具有家族性,为常染色体显性遗传,可能与1p21-22有关
临床表现
1、临床表现无特异性,极易漏诊、误诊
2、多数患者无症状,体检时偶然发现
3、部分患者出现上腹隐痛,伴上消化道出血可表现急性致命性大出血,亦可因慢性出血导致慢性贫血
4、尚可表现为恶心、呕吐、体重减轻、乏力等症状


病理
1、大体:多为边界清楚的结节,常位于胃窦。切面呈灰红色如胎盘组织,无包膜
2、镜下:瘤组织由血管球细胞构成,细胞大小一致,呈圆形或立方形,胞质淡红色或稍透明,核稍大,圆形或卵圆形、位于细胞中央,有的细胞呈梭形,似平滑肌细胞,有血管丰富的间质,间质可玻璃样变
3、表达SMA、肌特异性肌动蛋白、 h-caldeson、Calponin 、波形蛋白和 Ⅳ 型胶原,偶可表达CD34,一般不表达结蛋白、广谱 CK 和S-100蛋白,CD117,DOG-1一般为阴性,Ki指数平均为3%
4、根据瘤细胞、血管结构和平滑肌组织的比例不同,将其分为3种类型 :
(1)固有球瘤( glomusproper) :占75%,界限清楚,由毛细血管性小血管和围绕血管生长的成片瘤细胞组成,瘤细胞呈规则的圆形,胞质淡染透明状或呈淡嗜伊红色,细胞边界清晰,PAS 染色更为明显,核圆形,位于细胞中央,肿瘤的间质呈透明样或黏液样;
(2) 球血管瘤( glomangioma) :占20%,界限不清,瘤内血管多为扩张的海绵状血管,血管周围的球细胞簇少而菲薄,血管腔内可有血栓或静脉石形成;
(3)球血管肌瘤(glomangiomyoma ) :所占比例<10%,除规则圆形的球细胞之外,瘤内还含有平滑肌束,球细胞与平滑肌细胞相互之间有过渡现象。
嗜酸性血管球瘤;
上皮样血管球瘤;
共质体性或奇异性血管球瘤;球周细胞瘤
5、血管球瘤的组织学分类与肿瘤的生物学行为无关




Fig. 3. Pathologic findings of resected specimen. (A) A photograph of gross specimen obtained after wedge resection demonstrated a 2.4 cm subepithelial tumor (arrows) located in the 4th proper muscle layer of the stomach (PM). (B) A microphotograph showed
solid sheets of round, uniform glomus cells surrounding
capillaries of varying shape (H&E, ×100). (C) Immunohistochemical staining for synaptophysin was strong positive for glomus tumor.
Se Hyung Kim,Gastric Glomus Tumor Showing Hepatic Hemangioma-like Enhancement Pattern on CT,Korean J Gastroenterol Vol. 57 No. 2, 134-137,DOI: 10.4166/kjg.2011.57.2.134
GGT CT表现
1、好发于胃窦部,其次是胃体部,未见发生于贲门和胃底
2、肿瘤单发多见,多发者罕见
3、肿瘤多呈圆形或卵圆形,部分形态不规则呈分叶状
4、肿瘤体积偏小,绝大部分<4cm
5、肿瘤生长方式分为腔内生长、腔外生长和混合生长,以腔内生长多见
6、NECT:与胃壁肌肉组织密度相仿的实性肿瘤,少见囊变、坏死、出血,偶可见微小点状钙化
7、CECT:动脉期肿瘤呈边缘明显强化或显著均匀强化,门静脉期肿瘤持续均匀强化或稍减低,延迟期扫描肿瘤与肝脏等密度
8、增强后肿瘤生长部位的胃黏膜光整,强化程度同周围胃黏膜一致,很少出现黏膜溃疡,当瘤体较大时表面出现溃疡
病例展示
胃窦部,单发,边界清晰,形态卵圆形,粘膜下,密度均匀

Figure 2: Computed tomography findings. Abdominal computed tomography revealed a well demarcated, ovoid mass at the antrum on (a)unenhanced, (b) arterial phase, and (c) delayed phase scans.
Yoshinori Handa,Gastric Glomus Tumor: A Rare Cause of Upper Gastrointestinal Bleeding.Case Reports in Surgery Volume 2015, Article ID 193684, 4 pages
细小点状钙化

患者男,66 岁。腹痛伴呃逆 3 个月。
a:CT 平扫示胃体小弯侧见一不规则形软组织肿块,边缘有欠分叶,内见细小点状钙化影(箭头示);
b:增强后动脉期明显边缘性强化;
c:静脉期呈均匀性强化,强化范围及幅度进一步扩大;
d:镜下见肿瘤细胞形态一致,围绕血管生长或成片排列,细胞小多边形,细胞质透亮,核圆形、卵圆形,大小一致,无明显异型(HE 染色,×200)
王健,胃血管球瘤的 CT 特征,浙江医学 2017 年第 39 卷第 1922 期
GGT MRI表现

Fig. 3 – Axial magnetic resonance images. (a) T2-weighted image showing a well-circumscribed, submucosal, nodular gastric hyperintense mass, located in the antrum; (b) and (c) T1 post-gadolinium fat saturation images at 20 seconds and 5 minutes respectively, showing arterial enhancement, with a progressive pattern, more homogeneous in the delayed phase
Inês Vieites Branco,MD.Rare mesenchymal antral gastric tumors: Case reports of glomus tumor and plexiform fibromyxoma.Radiology Case Reports 1 5 (2020) 71–76
鉴别诊断
1、胃息肉

01、常见于胃窦、胃体部
02、体积偏小,小于2cm
03、有蒂息肉均发生在胃窦部
04、呈圆形、 类圆形或不规则形
05、边缘清晰
06、腔内生长模式
07、肿瘤内钙化多呈小点状,囊变及溃疡罕见
08、增强后动脉期肿瘤中度强化,静脉期进一步强化

2、胃癌
01、隆起型胃癌类似于粘膜下肿块
02、白线征-确定来源
03、胃周脂肪间隙模糊
04、淋巴结和/或远处脏器转移
3、胃肠道间质瘤(GIST)

01、好发于胃窦部,其次是胃体部,未见发生于贲门和胃底
02、肿瘤单发多见,多发者罕见
03、肿瘤多呈圆形或卵圆形,部分形态不规则呈分叶状
04、肿瘤体积偏小,绝大部分<4cm
05、肿瘤生长方式分为腔内生长、腔外生长和混合生长,以腔内生长多见
4、神经内分泌肿瘤

Nam Kyung Lee,Hypervascular Subepithelial Gastrointestinal Masses: CT-Pathologic Correlation,radiographics.rsna.org
01、起源于胃肠道粘膜深层神经内分泌细胞
02、依据病理分级的不同,其CT表现可多种多样
03、G1和G2:通常较小,易漏诊,位于胃底和胃体,呈结节状或息肉状,可多发,边界清晰,动脉期中度到明显强化;G3:胃壁浸润增厚或溃疡型肿块,中度延迟强化04、可发生淋巴结和肝脏转移
5、异位胰腺

01、胃、十二指肠多见,以胃窦部粘膜下最多见
02、与脏器长轴平行,向腔内隆起
03、平扫多呈均匀性等密度,少见钙化、坏死
04、典型者强化与胰腺相似
05、中心脐凹征
6、转移瘤

原发肿瘤病史
转移瘤强化方式与原发瘤相似
7、胃海绵状血管瘤

Murat Basbug,Isolated Cavernous Hemangioma: A Rare Benign Lesion of the Stomach,J Clin Med Res • 2012;4(5):354-357
01、十分罕见,属于血管畸形而非真性肿瘤
02、任何年龄均可发生,但多发生于幼儿
03、可单发或多发,亦可弥漫性分布
04、常与多种综合征合并存在,例如Klippel Trénaunay综合征, Maffucci syndrome, 蓝色硬血管痣综合征, Osler-Rendu-Weber病
05、特征性静脉石
06、渐进性强化,周围血管盈
小结
1、胃血管球瘤有一定的特征性
2、高质量的图像是正确诊断的前提
3、胃壁肿块的正确影像诊断思路可帮助缩小诊断范围
团队介绍

黄冈市中心医院是黄冈地区唯一的一家市级三级甲等医院。黄冈影像中心是省级临床放射重点专科,也是医院重点发展的平台科室。是黄冈市医学会放射专业委员会主委单位、黄冈市放射医学质控中心挂靠单位。影像中心目前是湖北科技学院等多所医学院校教学基地,承担多所医学院校带教任务,是鄂东地区唯一的国家级及省级住院医师规范化培训基地。
中心近5年来先后投入上亿元购置了包括GE-revolution512层CT机、飞利浦256层iCT、西门子3.0T核共振仪、飞利浦3.0T磁共振仪等先进的大型设备,在省内同级医院居领先地位,能够开展所有三级医院必备的检查项目。
中心亚专业分为头颈学组、心胸学组、腹盆学组及骨肌学组,各学组人员配备合理。
中心除能开展常规的影像检查外,还能开展不限心率心脏冠脉CT、磁共振功能成像、全身血管的一站式CTA检查、能谱CT诊断、骨科及齿科三维重建以及CT引导下的介入治疗等项目,有力支援和带动了临床科室业务水平的提高。
中心技术力量雄厚,现有主任医师3名,副主任医师2名,主治医师8名,硕士6人。近年来,承担国家级多中心科研课题1项、省级科研课题2项、市级科研课题7项,出版学术专著5部,发表包括SCI收录、核心和统计源期刊论文50余篇,获黄冈市科技进步二等奖1项。
主任介绍

副主任医师,医学硕士
学术任职:
黄冈市医学会放射学分会委员
武汉市医学会放射学分会青年委员
湖北省临床肿瘤学会青年委员
业务专长:擅长X线、CT和MRI,尤其擅长胸腹部及颈部疾病的影像诊断。2014年在武汉协和医院进修学习,主持省级课题一项,发表学术论文10余篇,其中第一作者7篇,均为统计源核心期刊。参编专著两部,以副主编参与《新冠肺炎CT早期CT征象与鉴别诊断》已在2020年出版