髋关节是全身最大且最稳定的关节。它是连接躯干与下肢的重要关节,一直扮演着主导运动和承上启下的作用,是全身负荷体重受力最重的关节。

南昌中心近期应用高分辨率MRI为一位68岁男性患者明确诊断左侧股骨头坏死。患者左髋疼痛半年,MRI影像清晰显示左侧股骨头塌陷、骨质破坏,波及邻近骨髓水肿,关节腔少量积液,为临床提供了关键的分期与治疗依据。股骨头坏死起病隐匿,常表现为髋部或膝部牵涉痛,早期MRI检查具有不可替代的诊断价值。
股骨头坏死
多见于30~50岁人群,约有半数累及双侧股骨头。
分为创伤性和非创伤性,创伤性股骨头坏死(的)常见病因是外伤等导致股骨头血供受损或中断,导致骨髓成分及骨细胞死亡及随后的组织修复;非创伤性股骨头坏死的原因包括激素性、酒精性股骨头坏死,以及减压病、镰刀细胞性贫血等,还有少见的原因不明的特发性股骨头坏死。
病史
患者男,68岁,左下肢疼痛半年,加重1周。
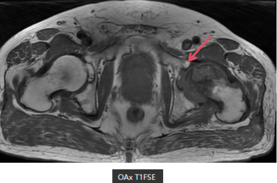
MR表现
左侧股骨头变扁,局部塌陷,骨质内见线状T1WI低信号,髋臼及股骨近端骨松质见片状T1WI低、T2WI压脂高信号,DWI高信号,周围滑膜增厚,邻近软组织肿胀,PD压脂信号增高,关节腔少量积液。





髋部疼痛可表现在腹股沟区深部、臀部、大腿前方甚至膝关节。不明原因的膝关节疼痛需要除外髋关节疾病(包括股骨头坏死)的可能,也就是所谓的牵涉痛;再如患侧肢体无法承受自身重量,不能跷二郎腿或是蹲下站起的动作等。这些症状即便不是股骨头坏死,也需前往医院或影像中心进行髋关节X线或磁共振成像(MRI)检查,MRI是目前早期诊断和识别骨坏死程度的最佳检查。
