一般信息:
女性,49岁。
病史:发现左颈部包块数天,包块质软,轻度压痛,活动度尚可,无明显红肿热痛;无发热。
甲状腺超声检查:双侧颈部淋巴结(部分肿大),左侧淋巴结明显异常,建议进一步检查;甲状腺弥漫性病变,双侧甲状腺实质性结节(TI-RADS 3),建议3-6个月复查及其他进一步检查。
既往:桥本氏甲状腺炎;甲状腺多发结节;2018年甲状腺左叶穿刺病理:大量红细胞,少量淋巴细胞、中性粒细胞。2021年6月胸部 CT:右肺中叶肺大泡。
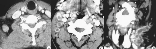
Fig.1 PET/CT、PET与MRI异机融合
左侧颈静脉鞘区囊实性病变 ,壁厚薄稍不均匀,CT均值约20Hu,大小约21mm×16mm,放射性摄取不均匀增高,SUVmax3.8。MRI呈明显长T2信号,壁稍不规则。双侧颌下及颈静脉区另见多个肿大淋巴结,密度均匀,呈长T2信号,放射性摄取不同程度增高,SUVmax5.8。

Fig.2 PET/CT、MRI平扫及DWI
左侧颈静脉上区囊实性病灶, 呈稍长T1稍长T2信号,信号不 均,中央囊变,DWI(b=800) 呈高信号,中央ADC值增高,囊壁稍不规则,ADC值约 0.872×10-3。

Fig.3
左侧颈部颈静脉鞘区结节影,密度不均匀,边缘见壳状及斑点状钙化,呈长T2信号,信号稍不均匀,放射性摄取增高,SUVmax3.6。

Fig.4
左侧上纵隔淋巴结肿大,边缘见点状钙化,放射摄取增高,SUVmax3.8; 左侧锁骨上窝结节状钙化,放射性摄取未见异常增高。

Fig.5 PET/CT、PET与MRI
异机融合双侧扁桃体肿大,未见明显异常密度影, T2WI扁桃体信号均匀,未见异常信号,放射性摄取明显增高,SUVmax14.5。

Fig.6
双侧甲状腺肿大,密度弥漫减低,CT值约60Hu,放射性摄取弥漫增高,SUVmax5.7。

MRI与PET异机融合
甲状腺肿大,呈稍长T2信号,信号稍不均匀,左叶见结节状长T2信号,放射性摄取弥漫增高,SUVmax5.7。

Fig.8 PET/CT、MRI平扫及DWI
甲状腺肿大,呈等T1稍长T2信号,信号稍不均,DWI(b=800)呈稍高信号,内见微小斑片状高低不均信号,ADC图双叶均见多发小结节状低信号。






一般信息:
女性,50岁。
病史:右侧颈部疼痛一月余,右颈部可扪及包块。外院MRI:“右侧舌缘鳞癌”术后改变;双侧胸锁乳突肌稍肿胀,右侧胸锁乳突肌深面淋巴结较一月前稍增大。鳞状细胞相关抗原(SCCA) 0.5ng/ml,参考值0-2.5。
2018年因“右侧舌缘鳞状细胞癌”行右舌病损扩大切除术+右侧颈淋巴结清扫术+下颌骨部分切除术,病理结果:中分化鳞状细胞癌,侵犯横纹肌;颈部淋巴结四枚:镜下未见癌转移;涎腺组织一块,镜下未见癌转移。
Fig.1
右侧颈静脉鞘上组见两枚肿大淋巴结,呈稍低密度,CT均值约39Hu,其中一枚淋巴结见结节状钙化,放射性摄取明显增高,SUVmax12.6。
Fig.2 PET/MR
示右侧颈静脉区淋巴结肿大,呈稍长T2信号,局部见结节状短T2信号,放射性摄取增高,suvm10.3;右侧胸锁乳突肌肿胀。左侧颌下见小淋巴结,放射性摄取轻度增高。







●病例1:
患者1行PET/CT检查后行颈部淋巴结活检,提示为转移瘤,来源于甲状腺可能;行甲状腺全切及颈部淋巴结清扫。病理结果:(左侧)甲状腺微小乳头状癌(镜下最大径0.3cm),组织学类型 普通型; 被膜、神经、脉管未见癌;切缘阴性;合并桥本甲状腺炎。(右侧)结节性甲状腺肿伴 桥本甲状腺炎。
“左中央区”淋巴结2/5枚癌转移。
“左颈侧方”淋巴结1/11枚癌转移。
“左颈二区”1/1枚癌转移。
送检“右中央区”淋巴结未见癌。
●病例2:反复多次多点活检,未发现原发肿瘤,原发灶隐匿。
又称慢性淋巴细胞性甲状腺炎,是自身免疫甲状腺炎的经典类型。本病女性发病率是男性的3~4倍,高发年龄在30~50岁。HT甲状腺滤泡破坏的直接原因的甲状腺细胞凋亡。浸润的淋巴细胞有T细胞和B细胞。T细胞在甲状腺自身抗原的刺激下刺激下释放细胞因子,由于参与的细胞因子都来源于Th1细胞,所以HT被认为是Th1细胞导致的免疫损伤。TPOAb和TgAb都具有固定补体和细胞毒作用,也参与甲状腺细胞的损伤。HT甲状腺坚硬、肿大,正常的滤泡结构广泛的被浸润的淋巴细胞、浆细胞及其淋巴细胞、浆细胞及其淋巴生发中心代替。甲状腺滤泡孤立,呈小片状,滤泡变小、萎缩,其内胶质稀疏。
CT表现
双侧甲状腺弥漫性增大,或者一叶腺体增大更明显,中等大小,密度均匀减低,腺体内无更低密度结节影及钙化影,边缘规则清楚。增强后增大的甲状腺呈轻度强化,密度较均匀,可出现不均匀片状或团块强化,强化程度不及正常的甲状腺。MRI表现:甲状腺弥漫性增大,表面呈结节状,T1WI呈低信号,T2WI呈高信号,有时可见低信号的纤维间隔。在桥本氏甲状腺炎的大背景下可以隐藏许多疾病,如乳头状癌、淋巴瘤等。
起源于甲状腺滤泡上皮或滤泡旁上皮细胞的恶性肿瘤,也是头颈部最为常见的恶性肿瘤。国家卫健委甲状腺癌诊疗指南(2022版)根据肿瘤起源及分化差异,将甲状腺癌分为:甲状腺乳头状癌(Papillary Thyroid Carcinoma,PTC)、甲状腺滤泡状癌(Follicular Thyroid Carcinoma,FTC)、甲状腺髓样癌(Medullary Thyroid Carcinoma,MTC)、甲状腺低分化癌(poorly differentiated thyroid carcinoma,PDTC)、甲状腺未分化癌( Anaplastic thyroid cancer, ATC)PTC和FTC合称分化型甲状腺癌 ( Differentiated thyroid carcinoma,DTC)。
临床症状
大多数没有临床症状;甲状腺结节多为良性, 恶性肿瘤约占5%~ 10%。合并甲状腺功能亢进或减退时可出现相应的临床表现。甲状腺良性结节或恶性肿瘤体积增大均可出现压迫症状, 常可压迫气管、食管, 使气管、 食管移位。恶性肿瘤局部侵犯周围器官结构,还可出现声音嘶哑、 吞咽困难、 咯血、 呼吸困难等症状。颈淋巴结转移可表现为侧颈部肿块。MTC 肿瘤细胞分泌降钙素和 5-羟色胺等活性物质,可引起腹泻、 心悸、面色潮红等症状。
侵犯和转移
1、局部侵犯:甲状腺癌局部可侵犯喉返神经、气管、食管、环状软骨及喉,向外侧可侵犯至颈鞘内的颈内静脉、迷走神经或颈总动脉。
2、区域淋巴结转移:PTC易早期发生区域淋巴转移,大部分PTC患者在确诊时已存在颈淋巴转移。
3、远处转移:肺部是甲状腺癌常见的远处转移器官,甲状腺癌也可出现骨、肝、颅内等部位转移。甲状腺滤泡癌、分化差的甲状腺癌、未分化癌出现远处转移的风险较大。
超声检查简便无创,用于甲状腺结节检查特异性和敏感性较高, 能清晰地显示结节的边界、形态、大小及内部结构等信息,是甲状腺首选的影像学检查。CT及MRI扫描对评价甲状腺肿瘤的范围、与周围重要结构如气管、 食管、颈动脉的关系及有无淋巴结转移有重要价值。CT对于最大径≤ 5 mm 结节及弥漫性病变合并结节的患者观察欠佳;MRI对钙化不敏感,检查时间长,易受呼吸和吞咽动作影响。
不推荐PET-CT作为甲状腺癌诊断的常规检查方法,下列情况可考虑使用:
1、DTC患者随访中出现 Tg 升高(>10ng/ml),且碘-131诊断性全身扫描阴性者查找转移灶;
2、MTC 疗前分期以及术后出现降钙素升高时查找转移灶;
3、甲状腺未分化癌疗前分期和术后随访;
4、侵袭性或转移性 DTC 患者进行131I 治疗前评估。
目前有研究认为18F-FDG PET/CT图像纹理分析可以对偶发瘤进行良恶性鉴别、预测预后有重要临床意义,影像组学在甲状腺癌的临床应用有广阔前景。
甲状腺癌18F-FDG PET/CT表现:
甲状腺内低密度灶,部分病灶内见点状钙化,边缘欠清,相应引流区域颈部淋巴结转移多见,偶尔出现肺、骨骼等远侧转移; 甲状腺乳头状腺癌及其淋巴结转移灶糖代谢都很低,诊断价值有限,对于部分失分化的乳头状癌,可以发现糖代谢异常的淋巴结转移或远处转移;甲状腺滤泡癌往往具有稍高程度的糖代谢,可以发现其原发灶和转移灶。18F-FDG PET/CT检查甲状腺髓样癌转移灶的灵敏度随着降钙素水平不同而有所差异,有研究结果显示在基线降钙素水平大于1000pg/ml和小于1000pg/ml时,诊断髓样癌病灶灵敏度分别是78%和20%,因此在行PET/CT进行分期时,需选择时机。甲状腺未分化癌糖代谢较高。
本例在桥本甲状腺炎背景下 ,左叶合并微小乳头状癌;WHO定义甲状腺微小乳头状癌(papillary thyroid micro-carcinoma, PTMC)指肿瘤最大直径≤10mm 的甲状腺乳头状癌。甲状腺癌的患病率显著增加,以PTMC的增长为主且速度最快,高分辨率超声影像检查PTMC对有着很高的诊断准确率。CT、MRI及正电PET-CT对于 PTMC 的定性效果均不及超声。也研究认为应用高分辨扩散加权成像,当b值为2000s/mm2时,判断甲状腺结节及微小结节良恶性具有最佳诊断效能;诊断敏感性为96.15%、特异性为85.48%。判断甲状腺微小癌的诊断敏感性为93.94%。(但是常用的弥散序列单次激励平面回波成像用于甲状腺图像质量并不好)。

甲状腺肿患者,甲状腺右叶内可见T2WI高T1WI等稍低信号小结节。DWI图像上随b值增加,病变区相对于正常甲状腺组织的信号强度逐渐减低;ADC图像上病变区,ADC值明显比正常甲状腺组织高,呈红色。

微小甲状腺癌患者,甲状腺右叶内可见T2WI高T1WI等稍高信号小结节影;DWI图像上随b值增加,病变区相对于正常甲状腺组织信号强度逐渐升高;ADC图像上病变区ADC值明显比正常甲状腺组织低,呈蓝色。
在影像表现为弥漫病变时,需要注意到甲状腺乳头状癌另一组织亚型—弥漫硬化型,多见于年轻女性患者,双侧或单侧甲状腺弥漫性增大受累,具有自身免疫性甲状腺炎的血清学特点。形态学特点常见显著硬化,大量砂砾体,慢性淋巴细胞性甲状腺炎背景,肿瘤细胞巢常呈实性,伴广泛鳞状化生,容易侵犯甲状腺内淋巴管及甲状腺外组织。影像表现:不显示为具体的结节,仅显示甲状腺实质弥漫性病变;实质内的弥漫性分布或呈簇状堆积的微钙化,具有极大的诊断意义。
本例PET/CT及外院彩超均未发现弥漫性分布或呈簇状堆积的微钙化。
文献中有很好的记录表明,当PTMC被确定为偶发发现时,大多数病例预后良好。然而,确实存在一组表现出侵袭性病理特征和临床行为的微小肿瘤PTMC,包括局部和远处转移以及术后结构性复发。因此,在2022年WHO甲状腺肿瘤分类第5版中,不建议将“PTMC”视为一种特殊亚型,而对其采用与大于1cm肿瘤同样的亚分型,可为诊断为PTC的患者制定个性化风险分层方案。
临床研究表明PTMC存在很高的淋巴结转移率,普遍转移率为50%~75%,在中央区的淋巴结转移发生率甚至高达82.0%,远处转移的发生率为3.0%;这也导致了PTMC的复发及转移风险提高。各型乳头状腺癌中,主要转移位置是局部淋巴结,大部分PTC患者在确诊时已存在颈淋巴转移,可为本病的唯一临床表现。因此颈部淋巴结转移的影像诊断就显得相当重要。
颈部淋巴结转移
PTC 淋巴结转移常见原发灶同侧、沿淋巴引流路径逐站转移,其淋巴引流一般首先至气管旁淋巴结, 然后引流至颈内静脉淋巴结链(Ⅱ~Ⅳ区) 和颈后区淋巴结(Ⅴ区),或沿气管旁向下至上纵隔。VI区为最常见转移部位,随后依次为颈Ⅲ、Ⅳ、Ⅱ 、Ⅴ区。PTC发生颈侧区淋巴结转移时以多区转移为主,仅单区转移较少见。Ⅰ区淋巴转移少见( < 3%)。罕见的淋巴结转移部位有咽后/咽旁、腮腺内、腋窝等。也可见淋巴结跳跃性转移。研究发现:甲状腺癌患者颈部淋巴结跳跃性转移并不是偶发事件,其发生率范围为6.8% 至37.5%之间。有研究认为肿瘤位于甲状腺上极或峡部、单发、微小癌、患者年龄>45岁,等为甲状腺癌“跳跃性转移”的独立危险因素。跳跃性转移最常见的区域是III区及II区,其次是IV区和V 区转移,跳跃性转移瘤在侧颈区显示出非常多的单节段转移灶。
甲状腺乳头状癌颈部淋巴结转移的PET/CT表现多为低密度灶纵横比<2,形态呈分叶状或不规则淋巴门结构消失囊变,囊壁上有“半岛样”壁结节细沙粒样、点状、斑块状钙化增强扫描病灶多数为中度强化,密度欠均匀,境界较清楚,18F-FDGPET表现为放射性摄取轻度增高原发灶和与转移性淋巴肿同时发生钙化是诊断本病的可靠依据;囊变病灶囊壁上有“半岛样”壁结节,可为本病的较为特征性表现。
头颈部鳞状细胞癌是颈部淋巴结转移的常见原因鳞癌转移淋巴结特征性CT表现为不规则环形强化伴中央低密度,边缘较模糊;18F-FDG PET/CT 放射性摄取程度较高。甲状腺癌转移淋巴结明显更强化,密度与正常甲状腺或甲状腺肿瘤相仿,部分可伴有钙化。

头颈部鳞癌,淋巴结转移,可出现坏死、钙化
相对甲状腺乳头状癌放射性摄取相对较高
(右侧CT图像来源于网络)
淋巴瘤:
代谢:多数呈糖代谢异常增高,少部分呈糖代谢轻度增高,与病理类型及生物学行为有关。
分布:累及全身多处淋巴结,往往不限于某一脏器淋巴回流路径;可出现某一区域肿大淋巴结成簇、成团分布。
形态:类圆形,边缘渗出性改变少见,早期边缘光整,进展期及晚期可融合成团。
大小:大小不一的,但同一区域淋巴结倾向于大小相仿。
密度:均匀,呈软组织密度,出血、坏死、囊变及钙化少见。
对称性:累及躯体淋巴结时倾向于沿中线附近分布,颈部、腋窝及腹股沟
淋巴结受累多两侧对称分布。
结外器官受累:肝脾、骨骼、胃肠道等。

淋巴瘤典型表现,全身多处淋巴结肿大、融合,放射性摄取增高,SUVmax15.7;肝脾肿大,脾放射性摄取弥漫增高,SUVmax5.0。

淋巴瘤
颈部淋巴结肿大、部分融合,呈不对称分布,以右侧颌下及颈静脉区分布为主,放射性摄取明显增高;胃角及胃窦壁增厚,放射性摄取明显增高。双侧扁桃体肿大,呈结片状放射性摄取增高。
鉴别诊断
淋巴结结核:
淋巴结内液化表现为囊性变还可见于见于炎性病变报道如淋巴结结核、获得性免疫缺陷淋巴结囊性病变,进行鉴别诊断的主要是淋巴结结核,其影像特征与转移性淋巴结病变有时很难鉴别。典型淋巴结结核活动期有结核中毒相关症状,部分可继发于肺结核;在没有肺表现和肺结核病史情况下,通常无典型症状。
淋巴结结核病理类型不同,影像表现亦有差异:
Ⅰ型:主要为淋巴组织增生,形成结节和肉芽肿,影像表现为淋巴结肿大,密度均匀,放射性摄取均匀增高。
Ⅱ型:为干酪增殖结核,淋巴结中央可见成片的干酪坏死及周围的结核性肉芽肿结构,影像表现内部密度不均匀,中央见单发或多发小低密度区,增强后边缘见环状强化,放射性摄取不均匀增高。
Ⅲ型:淋巴结结构消失,见融合成片的干酪或液化坏死,部分淋巴结可有钙化,周围为肉芽肿结构,可有“冷脓肿”, 增强检查可见环形强化,淋巴结边界不清楚或与周围肌肉粘连,周围脂肪间隙不清晰,放射性摄取不均匀增高。在未接受放射性治疗的患者中,若出现淋巴结融合现象且相邻软组织水肿则高度提示结核。

Ⅰ型病理类型淋巴结结核PET/CT表现
(注:图片来源于网络)

不同病理类型淋巴结结核CT增强表现
(注:图片来源于网络)
小结
甲状腺癌首选高分辨超声检查,可很好甲状腺结节及颈部淋巴结的大小、数量、位置、囊实性、形状、边界/钙化、血供及与周围组织的关系,对检查医生的临床经验及手法18F-FDG PET/CT在癌灶本身的诊断中价值有限,但对失分化、低分化甲状腺癌的分期、再分期及疗效评估有一定意义。全身PET/CT中经常会遇到偶发瘤,结合多模态影像诊断及转移特点,尽可能为临床提供诊断信息。
