病例来源:辽宁沈阳沈南一脉阳光影像中心超声科
宫颈癌也称子宫颈癌,指发生在子宫阴道部及宫颈管的恶性肿瘤,是女性常见恶性肿瘤之一,发病率位于女性肿瘤的第二位。
世界卫生组织(WHO)2018年发布,全球宫颈癌发病率为每10万人中有约13人患病,死亡率为每10万人中有约7人因宫颈癌死亡,2018年全球新发宫颈癌病例约56.9万例,死亡病例约31.1万例,其中84%的病例发生于经济欠发达国家。

虽然近40年来世界范围内宫颈癌的发病率和死亡率有明显下降趋势,但是,全球的数据表明新发宫颈癌的平均发病年龄降低,有年轻化趋势,在我国宫颈癌发病以40-50岁为最多,60-70岁是发病的又一高峰年龄段,20以下较少见。
病因
HPV感染是导致宫颈癌的主要原因,其他相关因素包括吸烟、多个性伴侣、性生活开始过早、多孕多产以及免疫功能缺陷性疾病等。
基本病因
HPV感染:几乎所有的宫颈癌都是与HPV感染相关。目前发现可以导致宫颈癌的高危型HPV,其中16和18型与宫颈癌发生密切相关。其他型还有31、33、35、39、45、51、52、58、59、66、68、82等。大多数情况下,人体的免疫系统可以清除HPV感染,只有少数女性持续性高危型HPV感染,会导致宫颈癌前病变并发展为宫颈癌。

病理
宫颈癌好发部位在宫颈管单层柱状上皮与宫颈外口鳞状上皮间的移行区域。宫颈浸润癌中90%为鳞状细胞癌,约5%为腺癌,其余5%为混合癌。
大体病理上,宫颈浸润癌可分为4种类型:即外生型、内生型、溃疡型及宫颈管型,前3种类型常向阴道内生长,阴道窥器检查时容易观察到病灶。后一种类型病灶发生于宫颈管内(多为腺癌)可向上累及宫体。

临床表现
宫颈癌早期常无症状。宫颈浸润癌的主要症状包括:
①接触性出血。
②阴道排液,早期为稀薄水样液,晚期合并感染时可见脓性恶臭白带。
③肿瘤侵犯周围器官时可出现尿道刺激症状、大便异常、肾盂积水等。
④妇科检查时可见宫颈肥大、质硬及宫颈口处肿物。
⑤子宫颈细胞学检查,特别是薄层液基细胞学(TCT)是早期宫颈癌诊断的必要手段。

超声表现
超声声像图上并不能显示宫颈不典型增生与宫颈原位癌,而且宫颈浸润癌早期因病灶较小,宫颈大小、形态、宫颈管梭形结构等仍可无异常表现;随着肿瘤增大,宫颈形态学改变较明显时,超声检查特别是经阴道超声检查有助宫颈浸润癌及病变范围与宫旁浸润情况的判断。宫颈浸润癌的超声表现包括以下几点:
(1)宫颈增大,宫颈管回声线中断。
(2)宫颈区域可见实性肿物,外生型肿瘤表现为宫颈外口处呈不均质低回声的实性肿物;内生型肿瘤则表现为宫颈肌层内不规则低回声区,与周围组织分界不清,有时可见蟹足状表现;宫颈腺癌时可见宫颈管回声弥漫性增强(较宫颈肌层回声强),呈实体性结构。
(3)侵犯周围组织的表现:宫颈癌侵犯阴道时,阴道与宫颈分界不清,阴道缩短;侵犯宫体时,子宫下段内膜和肌层与宫颈界限不清;侵犯膀胱时,可致膀胱后壁回声连续性中断或可见肿物向膀胱内突起,与宫颈分界不清;肿物压迫输尿管时,可致肾输尿管积水。宫旁转移时则表现为子宫颈两侧混合回声包块。
(4)CDFI:宫颈肿块内见丰富血流信号,呈散在点、条状或不规则状;可见低阻型动脉频谱,RI可<0.40
鉴别诊断
超声上需要与宫颈浸润癌鉴别的主要是宫颈炎性改变,如慢性宫颈炎、宫颈肥大等,慢性宫颈炎可表现为宫颈增大、变硬,但无肿物的局灶性表现,可助鉴别。慢性宫颈炎与早期宫颈癌的鉴别仍主要依靠宫颈细胞学检查。
临床价值
①超声检查尤其是经阴道超声检查对了解宫颈癌病灶的浸润范围及盆腔内转移情况有很大临床价值,如了解宫腔内、膀胱、直肠受侵及宫旁受侵等情况,为临床分期及治疗提供帮助。
②对宫颈管型宫颈癌,经阴道超声结合彩色多普勒超声检查(CDFI)可对宫颈管病变作出较早期诊断,有较大的临床价值。
③宫颈癌放射治疗(放疗)期间,超声随诊观察、评价宫颈癌病灶大小的变化、血流改变等有很大临床价值。
④CT、磁共振(MRI)及正子放射断层摄影(PET)检查对了解子宫颈癌周围脏器浸润情况也有帮助。

病例概述
患者,女,41岁,因“不规则阴道流血10天,量多”来诊。
现病史:患者平素月经规律,今年3月份及4月份出现月经不规律,经期延长至10-17天,经量增多,未治疗。5月23日无诱因出现阴道流血,量少,5月29日阴道流血量增多超月经量2倍,6月2日超月经量3倍,来院就诊。门诊以“子宫不规则出血”为诊断收入院。
既往史:既往健康,无家族遗传病史。
妇科检查:外阴及阴道发育正常,已婚未产型,未见潮红和肿物。阴道通畅,内见暗红色血液。宫颈正常大小,宫颈前唇和后唇呈红色颗粒样改变。子宫前位,正常大小,宫区无压痛,宫旁软,双附件区未及异常。
辅助检查:CA-125 14.3U/mL
HCG 血清绒毛膜促性腺激素测定(定量) 0.2mIU/mL
HPV核酸检测(分型+定量) HPV16 阳性
超声所见:
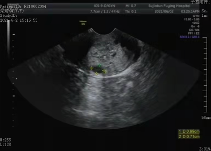
子宫前位,大小约9.6x5.0x5.0cm,子宫内膜厚约1.6cm,回声不均,内见散在小无回声。宫颈形态饱满,见多个囊肿,较大者约1.0x0.7cm,宫颈区彩色血流显示丰富。右附件区见3.4x3.1cm囊肿,形态规整,边界清,内呈无回声。左卵巢大小约2.6x1.7cm,左附件区未见占位性病变。
超声提示:
1、子宫内膜增厚
2、宫颈回声结合临床
3、右附件区囊肿

子宫内膜增厚

宫颈多发囊肿

宫颈可显示较丰富血流信号
治疗经过:
6月4日行子宫内膜病灶电切术、诊断性刮宫术、宫颈活检术。病理回报:子宫内膜单纯性增生。宫颈腺癌(普通型)。术前行增强磁共振检查,报告如下:



后患者到上级医院会诊后于6月21日于我院行全子宫切除术、双附件及盆腔淋巴结清扫术。

手术切除子宫

子宫切除术后病理报告
病例诊断思路分析:
患者来就诊时病史不典型,没有接触性出血的病史,代之以不规则阴道流血。超声扫查过程中也没有显示肿块,仅仅是密布的多个小无回声,所以易误诊为单纯的囊肿。
但仔细分析超声表现,这些囊肿大小不均,形态杂乱其间有明显的彩色血流信号,这些征象还是可疑的,是需要提高警惕的,再加上腺癌的发病部位多位于宫颈管内,需要考虑到宫颈腺癌的可能性。这时就需要我们结合其他辅助检查,给临床一个最为准确的参考。
专家团队介绍
一脉阳光深南医学影像诊断中心超声科设于沈阳市第二妇婴医院门诊二楼。科室现有工作人员23人,主任医师1名,副主任医师3名,主治医师5名,医师3名;全科有彩超诊断仪7台(包括GEVoluson E10、GEVoluson E8等)。
目前科室已经开展腹部超声、心血管超声、浅表器官超声、妇产科超声以及盆底超声检查。妇产科超声及盆底超声处于区域内领先水平。科室年门诊量4.5万左右,年收入800余万元。科室除了日常的门诊工作外,还承担了辽宁省两癌筛查工作、沈阳市孕前优生优育检查及部分体检工作,为医院带来了巨大的经济效益和社会效益。
科室注重质控管理,严格按照沈阳市超声质控中心的要求,完善各种规章制度,包括科室业务学习制度、病例随访制度、疑难病例讨论制度、危急值报告制度、科室业务考核制度等,科室重视人才培养和专业技术水平的提升,号召全科同事参加各种线下线上的学术会议,不断提升专业技术水平。未来,科室会根据临床需要,逐步开展超声造影等新技术,更好地服务于广大患者。
赵娟主任简介:
沈阳市第二妇婴医院超声科主任,学科带头人,主任医师,辽宁省生命科学学会妇产超声专业委员会常务委员,辽宁省中医医结合学会超声专业委员会委员。从事超声诊断二十年,擅长妇科肿瘤、胎儿畸形及乳腺疾病的超声诊断。

